L’apparecchio per i denti
Ortodonzia

L’apparecchio per i denti

L’apparecchio per i denti è un dispositivo ortodontico utilizzato per correggere problemi del cavo orale, come denti storti e malocclusioni. Questo strumento, applicando una pressione controllata sui denti nel tempo, li sposta gradualmente nella posizione desiderata.

Che cos’è l’apparecchio ai denti e come funziona?

L’apparecchio ortodontico agisce sul rimodellamento osseo alveolare e l’adattamento dei tessuti molli. Durante il trattamento, il paziente deve sottoporsi a controlli regolari per garantire che l’allineamento proceda correttamente.

A cosa serve?

L’apparecchio ai denti aiuta a correggere:

  • Disallineamento dentale
  • Diastemi (spazi tra i denti)
  • Masticazione impropria
  • Malocclusioni
  • Problemi di pronuncia
  • Disarmonia tra mascella e mandibola

 

Tipologie di apparecchi ortodontici

Gli apparecchi si dividono in:

  • Fissi: applicati direttamente ai denti e non rimovibili dal paziente.
  • Mobili: rimovibili e utilizzati per specifiche correzioni o mantenimento.

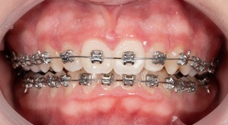
Apparecchio fisso

È costituito da staffe adesive (brackets) e un filo metallico che esercita pressione sui denti. Vi rientrano anche gli espansori palatali, utilizzati per allargare il palato nei bambini.

Apparecchio mobile

Può essere rimosso e include:

  • Ortodontici: spostano i denti senza effetti sulle ossa.
  • Di contenzione: mantengono i risultati ottenuti dopo il trattamento fisso.
  • Funzionali: agiscono su denti, muscoli e crescita ossea (soprattutto nei bambini).
  • Allineatori trasparenti: mascherine in plastica che spostano i denti in modo discreto.

 

Chi deve mettere l’apparecchio?

L’apparecchio è indicato per:

  • Malocclusione
  • Denti storti, affollati o sporgenti
  • Problemi scheletrici mandibolari
  • Prevenzione di carie e parodontiti future

Cosa non si può mangiare con l’apparecchio?

Evitare:

  • Cibi duri e croccanti (crosta del pane, muesli, frutta secca)
  • Cibi appiccicosi (caramelle, liquirizia, torrone)
  • Bevande e dolci zuccherati

Durata del trattamento

Dipende dalla gravità del problema e può variare da pochi mesi a diversi anni. Dopo la rimozione, spesso si utilizza un apparecchio di contenzione per mantenere i risultati.

Igiene e manutenzione

È fondamentale:

  • Utilizzare spazzolini ortodontici e filo interdentale specifico
  • Lavare i denti almeno 2 volte al giorno
  • Evitare cibi che favoriscono la placca
  • Usare collutori specifici

Consigli utili

  • Seguire le indicazioni dell’ortodontista
  • Proteggere l’apparecchio durante lo sport
  • Evitare di toccarlo con le dita
  • Segnalare tempestivamente eventuali problemi
  • Effettuare controlli regolari

Costi del trattamento ortodontico

Il prezzo varia in base alla tipologia di apparecchio e alla durata del trattamento. È consigliabile prenotare una visita ortodontica per una valutazione personalizzata.

L’apparecchio ai denti è una soluzione efficace per migliorare estetica e funzionalità del sorriso, ma va sempre utilizzato sotto la supervisione di un ortodontista qualificato.